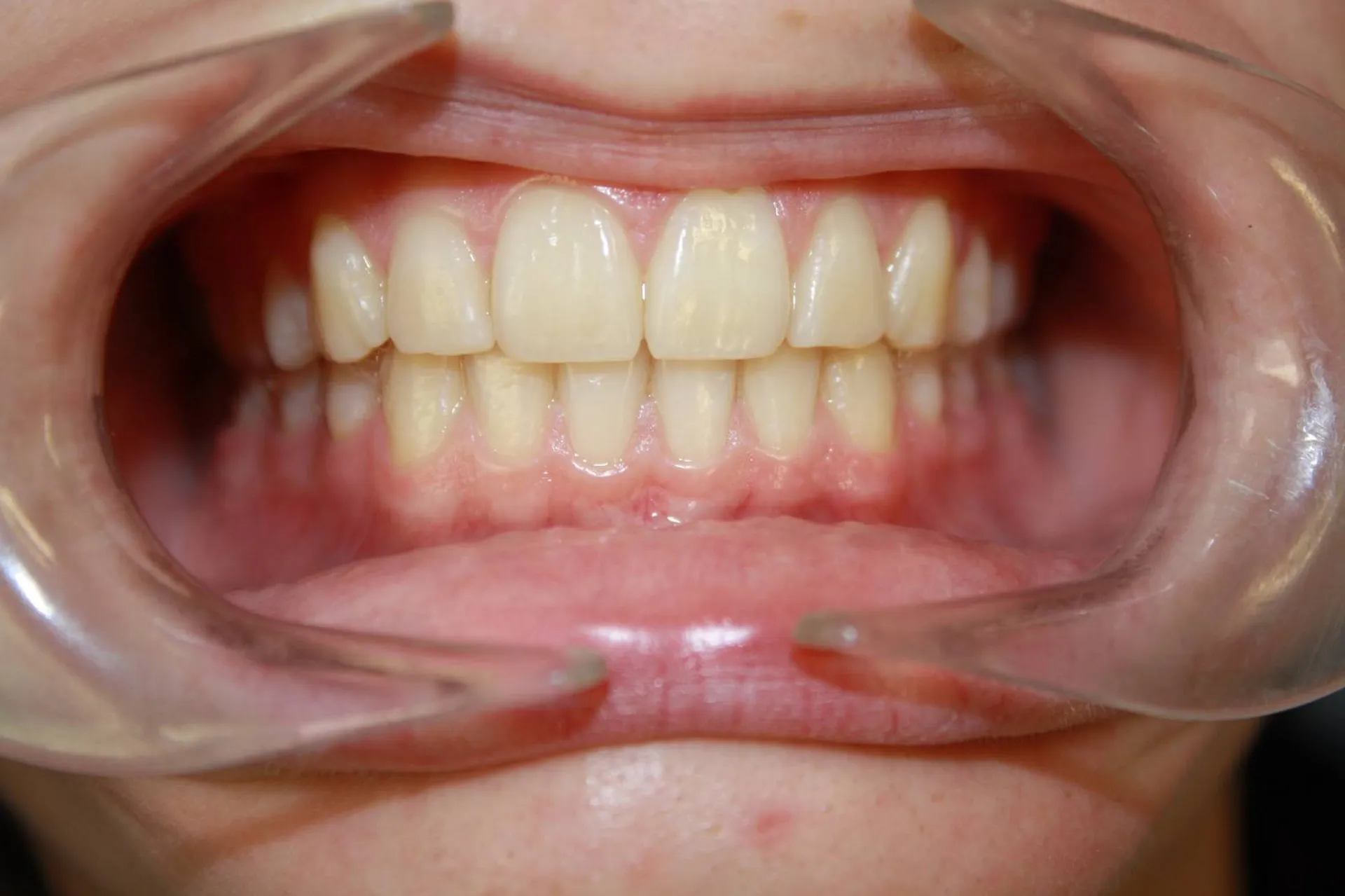
Chirurgie gingivale proche de Bouc-Bel-Air : centre dentaire pour traitement des gencives qui saignent

Le chirurgien-dentiste propose des soins spécialisés pour assainir vos gencives et prévenir la perte des dents. Ce centre dentaire élimine le tartre sous-gingival et désinfecte les tissus enflammés. Le cabinet dentaire rétablit ainsi une gencive saine, garant d un sourire éclatant.

  • Stop au saignement gingival par des soins professionnels avec le chirurgien-dentiste

  • Prévention de la maladie parodontale au centre dentaire

  • Gencives saines, roses et fermes au cabinet dentaire

Contactez-nous
Les champs indiqués par un astérisque (*) sont obligatoires
Régénération osseuse pré-implantaire à Marseille 13016 : chirurgie reconstructrice pour pallier une fonte osseuse sévère et stabiliser la future arcade complète

Régénération osseuse pré-implantaire à Marseille 13016 : chirurgie reconstructrice pour pallier une fonte osseuse sévère et stabiliser la future arcade complète

La régénération osseuse pré-implantaire à Marseille 13016 permet de restaurer les volumes perdus suite à une fonte osseuse sévère. Cette chirurgie reconstructrice avancée est indispensable pour garantir la stabilité d'une future arcade complète sur impl...
En savoir plus
Alignement dentaire sans bagues métalliques avec un traitement transparent à Marseille Saint André

Alignement dentaire sans bagues métalliques avec un traitement transparent à Marseille Saint André

N’attendez plus pour un traitement dentaire alliant esthétique et confort. Grâce à la procédure Invisalign et sa gouttière transparente amovible, vous direz adieu aux bagues métalliques.  Le Dr...
En savoir plus
Réaligner les dents en douceur avec une orthodontie invisible par aligneurs numériques personnalisés à Marseille 13015

Réaligner les dents en douceur avec une orthodontie invisible par aligneurs numériques personnalisés à Marseille 13015

Les dents mal alignées ne sont pas seulement un problème esthétique; elles peuvent également affecter notre santé bucco-dentaire globale. Pour ceux qui recherchent une méthode de réalignement esthétiquement plaisante, sans avoir à supporter les inconvén...
En savoir plus

Nos prestations sur le secteur de proche de Bouc-Bel-Air

gouttière invisalign pour traitement orthodontie proche de Vitrolles

gouttière invisalign pour traitement orthodontie proche de Vitrolles

Les gouttières dentaires de type Invisalign® permettent un alignement dentaire sans avoir à porter d'appareil de type bagues d'orthodontie.L'hygiène du patient est améliorée et le fait que...
En savoir plus
Quelles modalités de remboursement pour la technique all on four en implantologie dentaire sur Marseille 13013
Remboursement pour la technique all on four

Quelles modalités de remboursement pour la technique all on four en implantologie dentaire sur Marseille 13013

La technique All-on-4 en implantologie dentaire offre aux patients de Marseille 13013 une solution innovante pour remplacer toutes les dents d'une arcade en une seule intervention. Les modalités de remboursement de ce traitement, pris en charge en ...
En savoir plus

Notre zone d'activité pour ce service Chirurgie gingivale proche de Bouc-Bel-Air : centre dentaire pour traitement des gencives qui saignent

Freinectomie et chirurgie muqueuse proche de Bouc-Bel-Air : intervention de correction des freins et tissus mous pour préserver la santé des tissus parodontaux

Freinectomie et chirurgie muqueuse proche de Bouc-Bel-Air : intervention de correction des freins et tissus mous pour préserver la santé des tissus parodontaux

La freinectomie et la chirurgie muqueuse à proximité de Bouc-Bel-Air permettent de corriger les anomalies des freins labiaux ou linguaux et de restructurer les tissus mous. Ces interventions ciblées préviennent les récessions gingivales et stabilisent l...
En savoir plus

Pour soigner des gencives enflammées et douloureuses à Marignane, prenez rendez-vous au cabinet dentaire du Docteur Tourrolier Philippe. Spécialisés dans la parodontologie, nous vous proposons plusieurs soins (curetage, surfaçage, opération) pour traiter les infections de la gencive. Vous désirez améliorer votre sourire ? Nous réalisons des traitements Invisalign à Marignane qui utilisent des gouttières transparentes pour alignement des dents (de devant et du bas). Ces gouttières sont esthétiques et alignent naturellement vos dents. Notre cabinet est spécialisé dans l’implantologie dentaire. Nous sommes à votre disposition pour remplacer toutes vos dents avec des implants dentaires immédiatement à Marseille 13016 l’Estaque.

Pose d'implant dentaire pour changer toutes ses dents en une seule journée proche de Bouc-Bel-Air 

Gagnez du temps et du confort avec la pose d'implant dentaire pour changer toutes ses dents en une seule journée à proche de Bouc-Bel-Air. Au sein du cabinet du Docteur Philippe Tourrolier, nous proposons le remplacement de dents manquantes par implants en un seul rendez-vous. Grâce aux techniques All-on-Four et All-on-Six, nous fixons une prothèse provisoire le jour même de la chirurgie. Cette pose d'implant en une séance est idéale pour les patients souhaitant une réhabilitation rapide et efficace. Notre plateau technique permet de réaliser ces actes complexes avec une sécurité maximale. Prenez rendez-vous pour découvrir cette solution innovante. Demandez votre devis pour retrouver un sourire fonctionnel en 24 heures seulement.

RDV Doctolib