implant dentaire remplacement dent marseille 13016
Implantologie

Dr Tourrolier Philippe - Centre dentaire avec spécialité implantologie à Marseille 13016

/
Implantologie au sein du cabinet dentaire Philippe Tourrolier à Marseille 13016

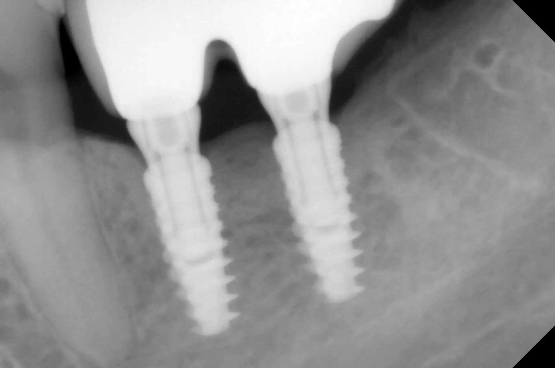
L'implant dentaire est actuellement la solution idéale pour remplacer les dents absentes ou fracturées.

Cette technique est devenu incontournable pour remplacer une dent absente. C'est la technique de choix qui permet de remplacer des dents infectées ou remplacer des dents fracturées.

Ces fiches d'information vous expliqueront : Nous répondons à toutes les questions sur l'implant dentaire, comment se passe la pose, le coût de celui-ci, la mise en charge immédiate pour changement totale d'une mâchoire ...

Le Docteur Philippe Tourrolier situé à Marseille 13016 est spécialisé en Implantologie orale, il est titulaire d'un diplôme Universitaire d'implantologie Orale. Contactez nous pour plus d'informations 

Une question ? Contactez-nous
Les champs indiqués par un astérisque (*) sont obligatoires
pose un implant incisive
Mise en charge immédiate d’un implant

Mise en charge immédiate d’un implant incisif à Marseille : retrouver un sourire sans attendre

La mise en charge immédiate d’un implant incisif permet de remplacer une dent visible sans attendre. Découvrez les indications, le déroulement et les précautions à Marseille.
En savoir plus
Poser un implant dentaire esthétique et durable sans cicatrice visible à Marseille 13015

Poser un implant dentaire esthétique et durable sans cicatrice visible à Marseille 13015

La quête d’un sourire harmonieux et naturel est au cœur des préoccupations de nombreux patients. Cette aspiration prend une dimension particulière lorsqu’il s'agit de poser un implant dentaire esthétique dans le quartier de Marseille 13015, sans laisser...
En savoir plus
Profiter d’un remplacement immédiat de toutes les dents avec implants et bridge fixe à Marseille 13013

Profiter d’un remplacement immédiat de toutes les dents avec implants et bridge fixe à Marseille 13013

Un sourire éclatant est souvent le reflet de notre confiance en nous. Pourtant, de nombreuses personnes sont confrontées à la perte de dents, affectant tant leur apparence que leur qualité de vie. Pour ceux résidant à Marseille 13013, une solution perma...
En savoir plus
Réaliser une greffe osseuse préalable à la pose d’implants avec régénération guidée à Les Pennes-Mirabeau

Réaliser une greffe osseuse préalable à la pose d’implants avec régénération guidée à Les Pennes-Mirabeau

Vous envisagez la pose d'implants dentaires mais avez été informé que votre structure osseuse n'est pas suffisante ? Aux Pennes-Mirabeau, le cabinet du Dr Tourrolier propose une solution avancée : la greffe osseuse assistée par régénération guidée. Ce p...
En savoir plus
Obtenir des implants dentaires sur mesure même en cas de perte osseuse importante à Bouc Bel Air

Obtenir des implants dentaires sur mesure même en cas de perte osseuse importante à Bouc Bel Air

Perdre une dent ou souffrir de perte osseuse importante ne signifie plus que vous devez abandonner l'idée d'avoir un sourire parfait. Grâce aux avancées technologiques en implantologie dentaire, il est désormais possible d'opter pour des implants sur me...
En savoir plus
Réhabiliter un sourire entier avec la pose d’un implant complet par technique All-on-Six à Gardanne

Réhabiliter un sourire entier avec la pose d’un implant complet par technique All-on-Six à Gardanne

Face aux défis esthétiques que représentent les dents manquantes ou endommagées, la pose d’un implant dentaire complet peut être une solution transformante. À Gardanne, la technique All-on-Six se démarque comme une méthode avant-gardiste pour réhabilit...
En savoir plus
Retrouver une dentition complète avec des implants fixes en titane ou zircon au cabinet dentaire à Martigues

Retrouver une dentition complète avec des implants fixes en titane ou zircon au cabinet dentaire à Martigues

Avez-vous déjà envisagé de retrouver une dentition complète sans avoir recours aux dentiers amovibles ? Les implants fixes en titane ou zircon offrent une solution durable et esthétique. À Martigues, le cabinet du Dr Tourrolier met à votre disposition c...
En savoir plus
Bénéficier d’une chirurgie implantaire guidée précise et sans douleur chez le Dr Tourrolier à Aix-en-Provence

Bénéficier d’une chirurgie implantaire guidée précise et sans douleur chez le Dr Tourrolier à Aix-en-Provence

Face à des préoccupations esthétiques comme les gencives douloureuses ou les dents mal alignées, l'implantologie guidée se présente comme une solution moderne et efficace. Avec une précision chirurgicale inégalée, le Dr Tourrolier à Aix-en-Provence offr...
En savoir plus
Changer une dent manquante rapidement grâce à un implant immédiat au cabinet du Dr Tourrolier à Marignane

Changer une dent manquante rapidement grâce à un implant immédiat au cabinet du Dr Tourrolier à Marignane

Perdre une dent n'est pas seulement un problème esthétique, c'est aussi une véritable contrainte fonctionnelle. De nombreuses personnes recherchent des solutions rapides et efficaces pour remplacer une dent manquante. L'implant dentaire immédiat, pro...
En savoir plus
Poser un implant dentaire avec empreinte numérique et sans douleur chez le Dr Tourrolier à Vitrolles

Poser un implant dentaire avec empreinte numérique et sans douleur chez le Dr Tourrolier à Vitrolles

Avez-vous déjà envisagé de remplacer une dent manquante sans douleur ni tracas ? L'implant dentaire avec empreinte numérique pourrait être la solution pour vous. Chez le Dr Tourrolier à Vitrolles, nous maîtrisons l'art de poser des implants dentaires e...
En savoir plus
Remplacer toutes ses dents en une journée avec la technique All-on-Four au cabinet du Dr Tourrolier à Marseille

Remplacer toutes ses dents en une journée avec la technique All-on-Four au cabinet du Dr Tourrolier à Marseille

Face aux défis que posent les remplacements dentaires, une solution innovante émerge : le remplacement de toutes les dents en une journée grâce à la technique All-on-Four. Ce procédé révolutionnaire, pratiqué au cabinet du Dr Tourrolier à Marseille, att...
En savoir plus
Extraction et Implantation Immédiate à Marseille par le Docteur Tourrolier

Extraction et Implantation Immédiate à Marseille par le Docteur Tourrolier

À Marseille, le Docteur Tourrolier réalise l'extraction dentaire suivie d'une implantation immédiate, une procédure permettant de préserver l'intégrité de l'os alvéolaire et d'accélérer le processus de restauration dentaire. Cette approche minimise le t...
En savoir plus
RDV Doctolib