1. Accueil
  2. Parodontologie
  3. Qu'est ce qu'une maladie de gencive?
Retour

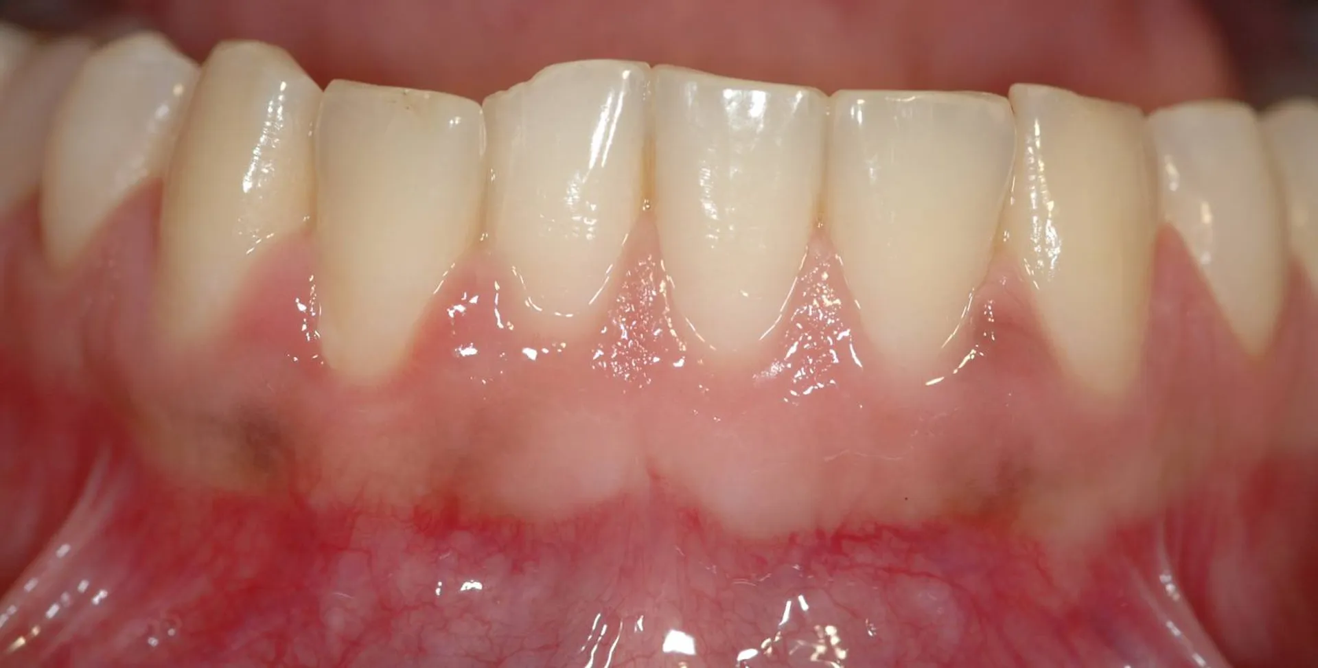
Qu'est ce qu'une maladie de gencive?

Les premiers signes d’une maladie parodontale sont:
  • des saignements,
  • un gonflement,
  • des douleurs.

Cela montre une inflammation causée par des bactéries situées autour et sous la gencive. 

Le plus souvent la plaque dentaire et le tartre sont responsables de cette inflammation .
Elle peut se transformer en gingivite puis en  maladie parodontale si elle n’est pas traitée.

Le traitement initial consiste en: l’apprentissage de techniques d’hygiènes efficaces, l’élimination des causes (plaque dentaire et tartre) par un détartrage et un polissage.


Si des poches parodontales sont présentes il sera alors nécessaire de réaliser un surfaçage radiculaire.
Le but du surfaçage est l’élimination des rugosité qui retiennent les bactéries et entretiennent ainsi la maladie parodontale. 


Si les poches parodontales sont profondes une chirurgie d’assainissement parodontale sera indiquée.
Elle consiste en la réalisation d’un volet par incision afin d’avoir une vue plus directe des racines et des tissus environnants.
Cette intervention réalisée sous anesthésie locale permettra d’éliminer le tissu de granulation qui tapisse la paroi de la poche gingivale.

Des contrôles réguliers ainsi qu’une hygiène rigoureuse permettront d’éviter les récidives.


Le Dr Tourrolier et son équipe pourront vous recevoir pour en discuter au cabinet de Marseille Saint André.

Publié le : 30/11/-0001
Mis à jour le : 25/02/2026
Nous écrire
Les champs indiqués par un astérisque (*) sont obligatoires
Partager :
RDV Doctolib