RDV Doctolib
Contact
04 12 16 06 07
Accueil
Implantation Arcade complète
Technique all on four
Technique all on six
Chirurgie implantaire guidée
Chirurgie avancée
Régénération osseuse guidée
Chirurgie muqueuse et gingivale
Greffe Osseuse
Implantologie
Parodontologie
FAQ
Contact
Accueil
Implantologie
Remplacer une dent absente par un implant dentaire à Marseille
Retour
Remplacer une dent absente par un implant dentaire à Marseille
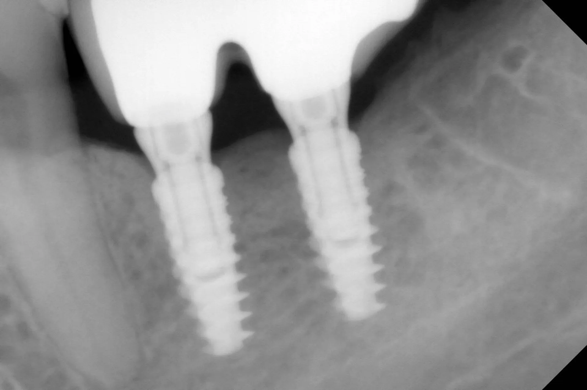
L'implant dentaire
est une racine artificielle en titane destinée a être inséré dans l'os de la mâchoire.
Il supporte ensuite une
prothèse dentaire
ou
couronne
afin de remplacer la dent absente.
La pose d'implants dentaires est en général une chirurgie légère qui engendre des suites opératoires faibles.
Selon la qualité de l'os et la technique utilisée la durée du traitement peut aller de quelques jours a plusieurs mois.
Cette vidéo détaille les différentes étapes d'un traitement implantaire.
Le Dr Philippe Tourrolier
se tient à votre disposition pour répondre à vos questions concernant les pratiques et indications des
implants dentaires.
Son cabinet situé au 60 rue condorcet dans le 16ème arrondissement de Marseille
reçoit les appels téléphoniques du lundi au vendredi de 9h à 19h.
Publié le : 30/11/-0001
Mis à jour le : 25/02/2026
Nous écrire
Les champs indiqués par un astérisque (*) sont obligatoires
Nom*
Prénom
Téléphone*
Email*
Bonjour. Je souhaiterais avoir de plus amples informations concernant : Remplacer une dent absente par un implant dentaire à Marseille. Pourriez-vous me recontacter s'il vous plait ?
Message*
En soumettant ce formulaire, j'accepte que les informations saisies soient traitées par
TOURROLIER PHILIPPE
dans le cadre de ma demande de contact et de la relation commerciale qui peut en découler.
En savoir plus en consultant notre politique de confidentialité.
*
Partager :
Dentiste pour la Pose d'une prothèse amovible supra-implantaire complète à Bouc Bel Air
Technique de Mise en Charge Immédiate des implants spécialiste implantation complete à Rognac
Chirurgien dentiste pour implant dentaire sans douleur Penne Mirabeau
Nous écrire
Contactez-nous
04 12 16 06 07
RDV Doctolib
place
accès
call
Tél.
Prendre RDV
mail
contact
RDV Doctolib