Traitement pour gencives qui gonflent proche d'Aix-en-Provence

Contactez-nous
Les champs indiqués par un astérisque (*) sont obligatoires
Dentiste spécialisée dans une prothèse dentaire amovible supra-implantaire Marseille centre ville

Dentiste spécialisée dans une prothèse dentaire amovible supra-implantaire Marseille centre ville

Il est parfois nécessaire de remplacer toutes les dents d’une seule arcade, pour cela il est des fois nécessaire d’avoir recours à la procédure supra-implantaire. Cette procédure à pour but de...
En savoir plus
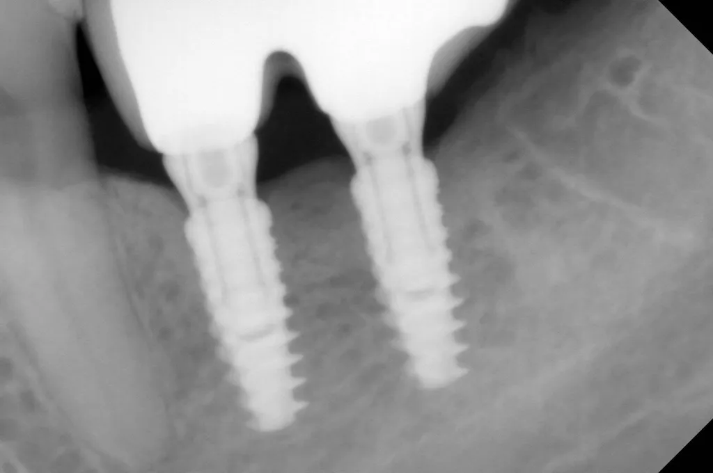
Précision chirurgicale guidée proche de Martigues : insertion d'implants dentaires via un guide imprimé en 3D pour un résultat esthétique prévisible

Précision chirurgicale guidée proche de Martigues : insertion d'implants dentaires via un guide imprimé en 3D pour un résultat esthétique prévisible

À Martigues, l'insertion d'implants dentaires par chirurgie guidée offre une précision chirurgicale inégalée grâce à un guide imprimé en 3D. Cette technologie numérique sécurise l'acte, réduit les suites opératoires et garantit un résultat esthétique pr...
En savoir plus
Poser une arcade complète fixe avec implants en titane grâce à la méthode All-on-6 à Aix en Provence

Poser une arcade complète fixe avec implants en titane grâce à la méthode All-on-6 à Aix en Provence

La méthode All-on-6 avec implants en titane à Aix en Provence : une solution fiable pour remplacer une arcade complète La pose d’une arcade complète fixe avec implants en titane selon la méthode All-on-6 est une solution moderne, durable et fiable pour...
En savoir plus

Nos prestations sur le secteur de proche d'Aix-en-Provence

Dentiste pour mise en charge immédiate bouche complète ou pose d'implant dentaire à Plan de Campagne

Dentiste pour mise en charge immédiate bouche complète ou pose d'implant dentaire à Plan de Campagne

L'implant dentaire est actuellement la méthode la plus rependue pour remplacer une dent absente ou suite à une infection dentaire. Cette technique est une technique fiable et entièrement codifiée qui permet une restauration pérenne des dents absentes ou...
En savoir plus
Obtenir un sourire éclatant sans chirurgie avec des solutions de dentisterie esthétique chez le Dr Tourrolier à Marseille 13013

Obtenir un sourire éclatant sans chirurgie avec des solutions de dentisterie esthétique chez le Dr Tourrolier à Marseille 13013

Avez-vous déjà envisagé un sourire éclatant sans passer par la chirurgie ? Les solutions modernes de dentisterie esthétique proposées par le Dr Tourrolier à Marseille sont conçues pour répondre à ce besoin. Grâce à des traitements comme le blanchiment d...
En savoir plus

Notre zone d'activité pour ce service Traitement pour gencives qui gonflent

Remplacer ses dents par des implants dentaires pour un sourire tout neuf Marseille L’Estaque

Remplacer ses dents par des implants dentaires pour un sourire tout neuf Marseille L’Estaque

Le chirurgien dentiste Dr Philippe Tourrolier vous propose un sourire tout neuf en remplaçant vos dents pas des implants dentaires à Marseille l’Estaque.  Il vous accueil dans son cabinet pour une implantation totale dentaire, cette procédure se prat...
En savoir plus

Pour soigner des gencives enflammées et douloureuses à Marignane, prenez rendez-vous au cabinet dentaire du Docteur Tourrolier Philippe. Spécialisés dans la parodontologie, nous vous proposons plusieurs soins (curetage, surfaçage, opération) pour traiter les infections de la gencive. Vous désirez améliorer votre sourire ? Nous réalisons des traitements Invisalign à Marignane qui utilisent des gouttières transparentes pour alignement des dents (de devant et du bas). Ces gouttières sont esthétiques et alignent naturellement vos dents. Notre cabinet est spécialisé dans l’implantologie dentaire. Nous sommes à votre disposition pour remplacer toutes vos dents avec des implants dentaires immédiatement à Marseille 13016 l’Estaque.

Pose d'implant dentaire pour changer toutes ses dents en une seule journée proche d'Aix-en-Provence 

Gagnez du temps et du confort avec la pose d'implant dentaire pour changer toutes ses dents en une seule journée à proche d'Aix-en-Provence. Au sein du cabinet du Docteur Philippe Tourrolier, nous proposons le remplacement de dents manquantes par implants en un seul rendez-vous. Grâce aux techniques All-on-Four et All-on-Six, nous fixons une prothèse provisoire le jour même de la chirurgie. Cette pose d'implant en une séance est idéale pour les patients souhaitant une réhabilitation rapide et efficace. Notre plateau technique permet de réaliser ces actes complexes avec une sécurité maximale. Prenez rendez-vous pour découvrir cette solution innovante. Demandez votre devis pour retrouver un sourire fonctionnel en 24 heures seulement.

RDV Doctolib